Bella Vista Family Dental Centre
  • Home
  • About Us
  • Meet the Team
  • Our Services
    • General Dentistry
    • Cosmetic Dentistry
    • Gum Treatment
    • Root Canal Therapy
    • Children's/Paediatric Dentistry
    • Wisdom Teeth Removal and Oral Surgery
    • Dental Implants
    • Clear aligners
    • Snoring and Sleep Apnoea
    • Grinding and TMJ Problems
    • Braces for Adults and Children
    • Dentures
  • For Doctors
  • Gallery
  • Contact Us

Angel Aligner
Clinical Support

Become an aligner expert

If you are new to Angel Aligner or looking to become more confident and efficient with treatment planning and delivery, Dr Phillip is here to help you and his credentials and expertise speaks for itself:

  • Successfully completed hundreds of Angel Aligner cases
  • Key opinion leader (KOL) for Angel Aligner 
  • Invited speaker for Angel Aligner conferences, symposiums and webinars in the Asia-Pacific region such as the A-Tech Conference in Shanghai
  • Collaborates directly with Angel Aligner’s design teams in Wuxi and Shanghai
  • First dentist in Australia to integrate CBCT with the Root Intelligent System (RIS) into Angel Aligner orthodontic planning
  • Evidenced-based approach to every case design
  • Clinically proven protocols which utilise a strategic and powerful combination of Angel Aligner, traditional braces, and Temporary Anchorage Devices (TADs) that can even be offered as a non-surgical alternative to traditional orthognathic surgery in some cases

Dr Phillip has mentored dentists across Australia and Asia-Pacific in clear aligner therapy with Angel Aligners and offers a personalised and comprehensive clinical support and treatment planning service. Have a look below at some examples of the many complex and challenging cases that Dr Phillip has successfully completed using Angel Aligner.

For more information please download the brochure below.
Angel Aligner Clinical Support & Treatment Planning Service.pdf
File Size: 2348 kb
File Type: pdf
Download File


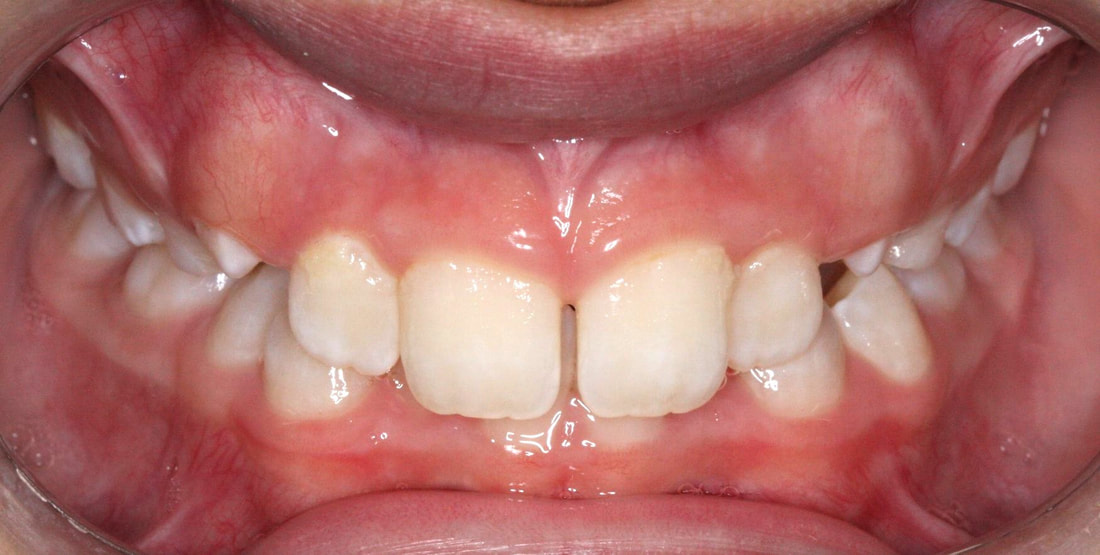
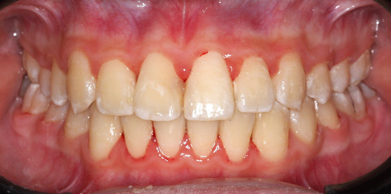
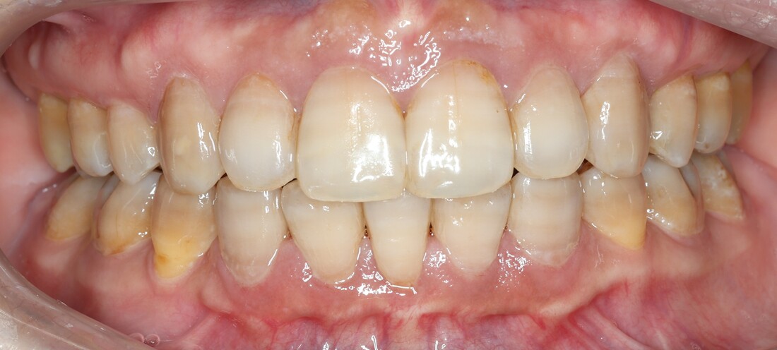
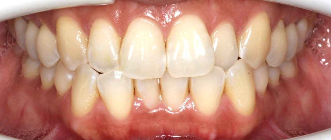
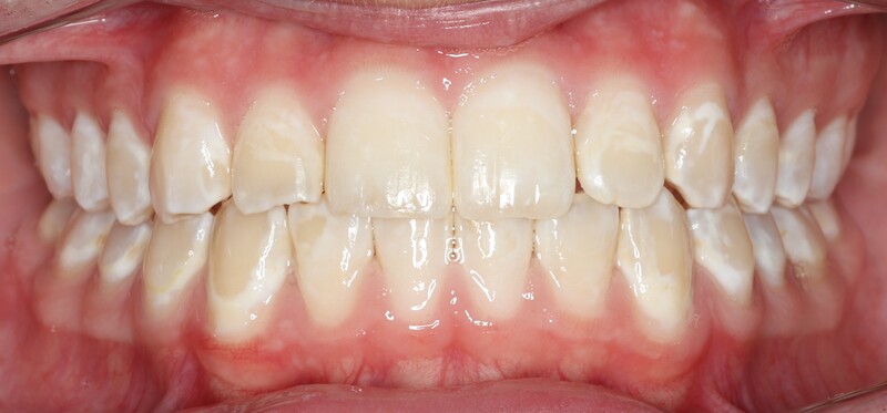
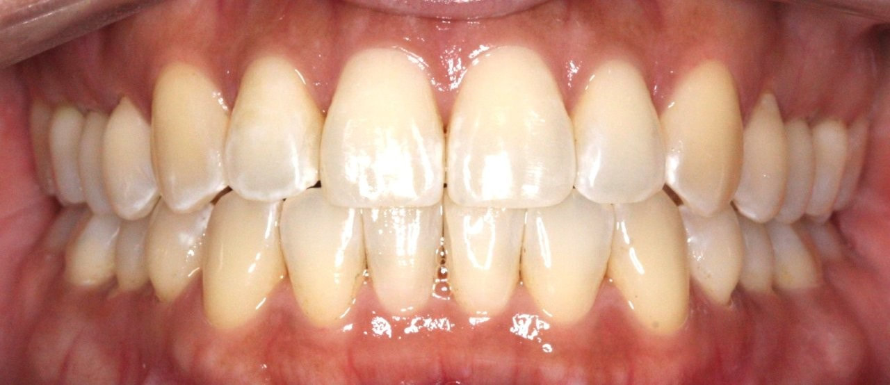
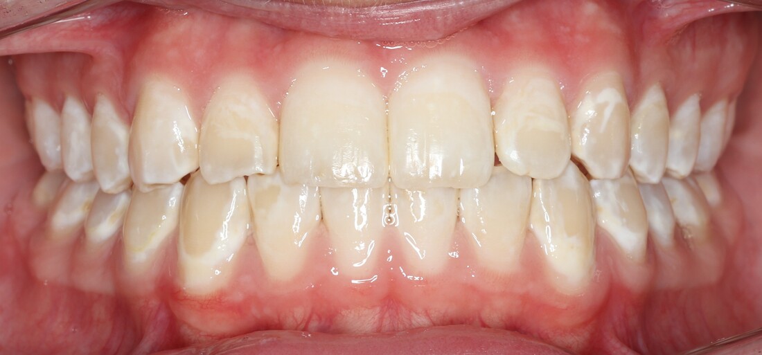
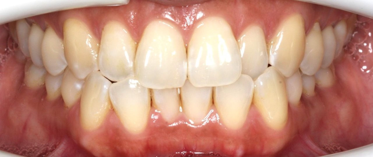
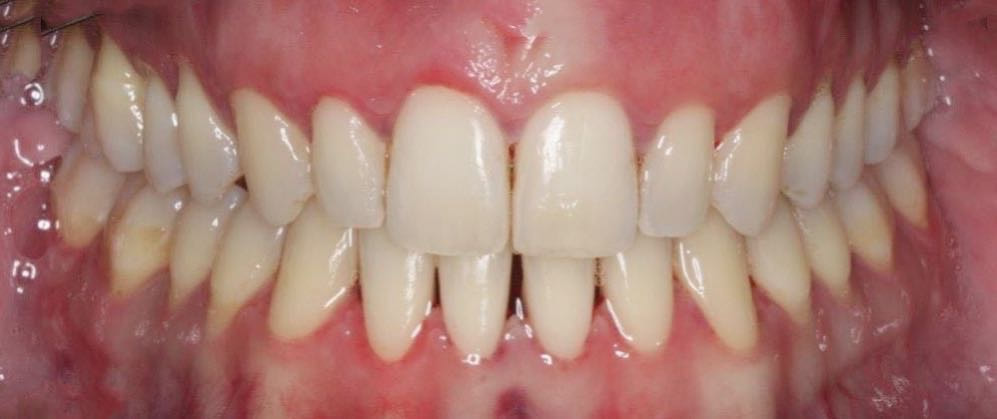
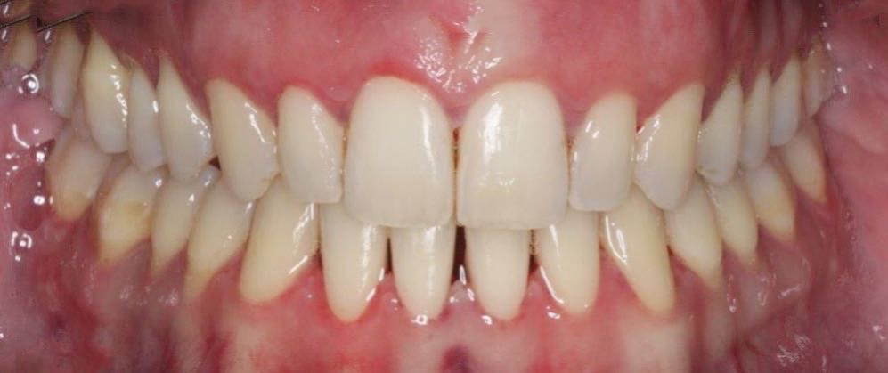
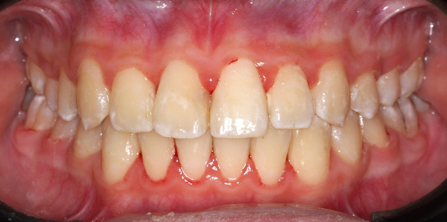
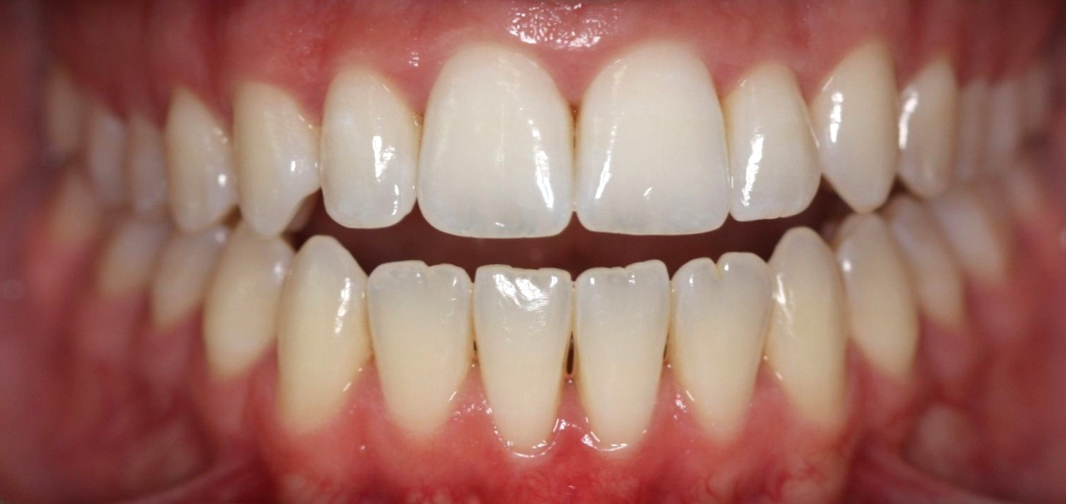
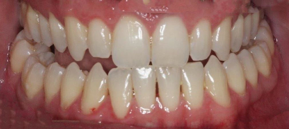
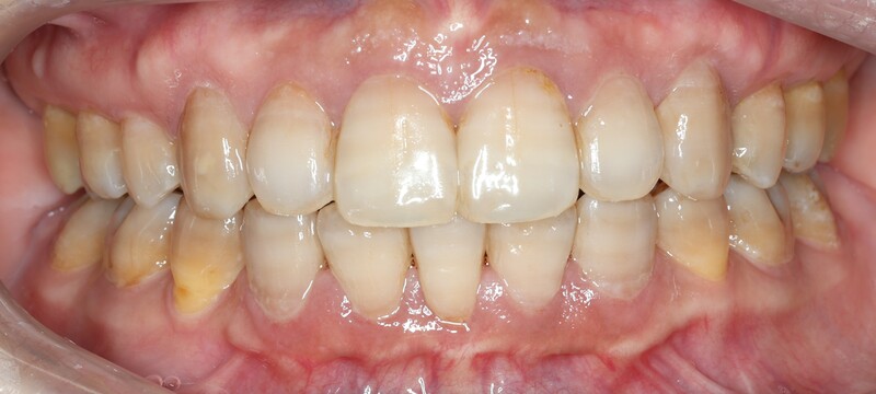
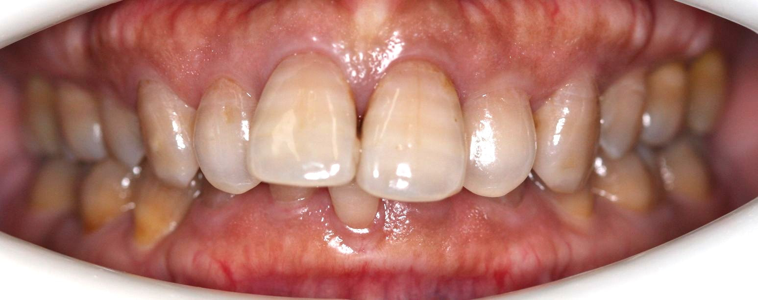
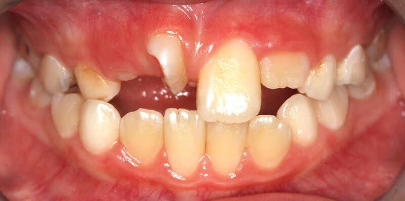
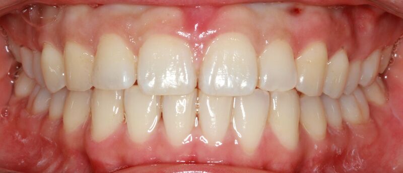
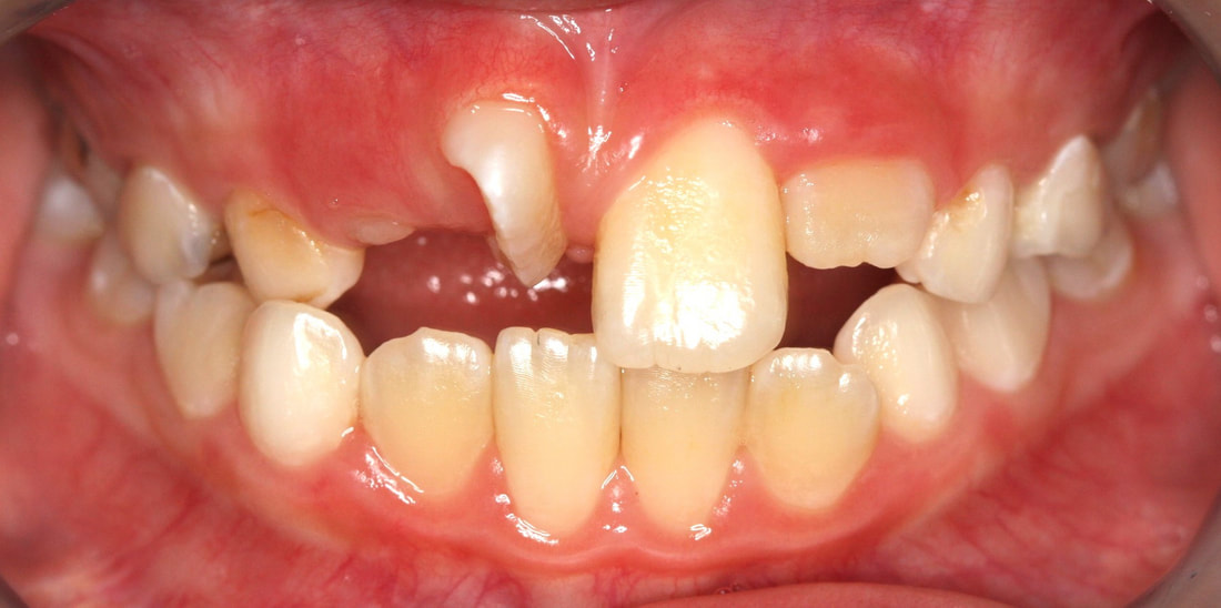
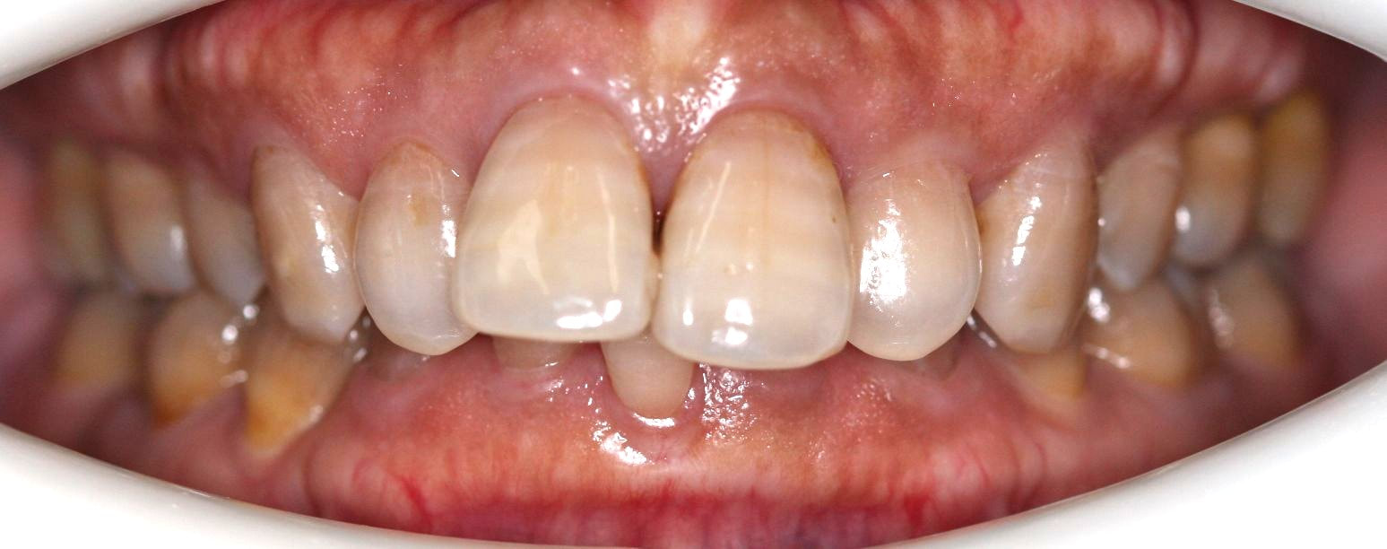
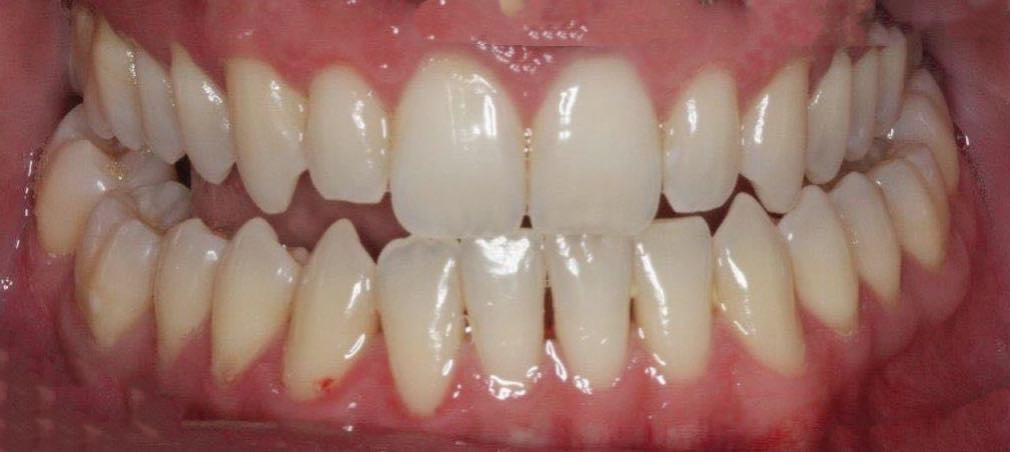
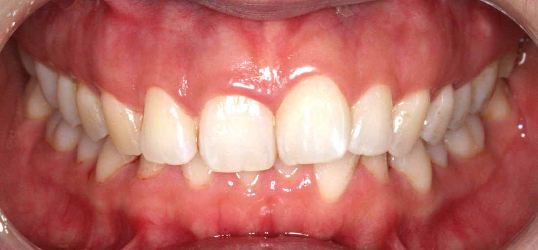
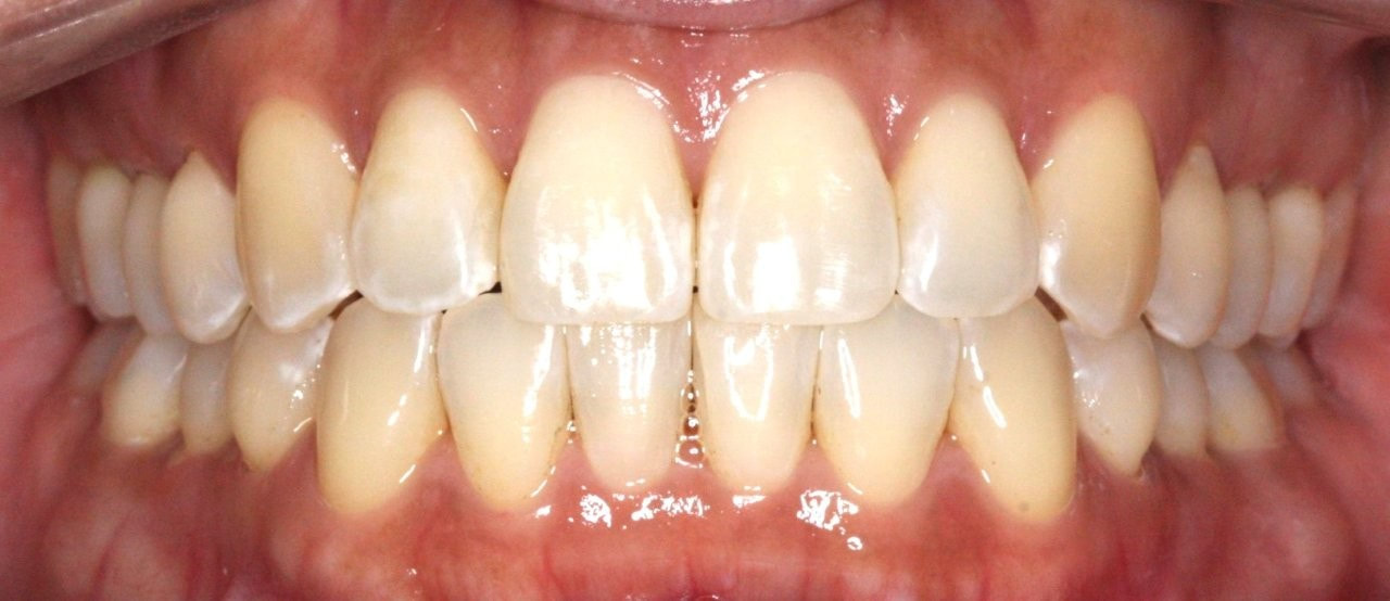
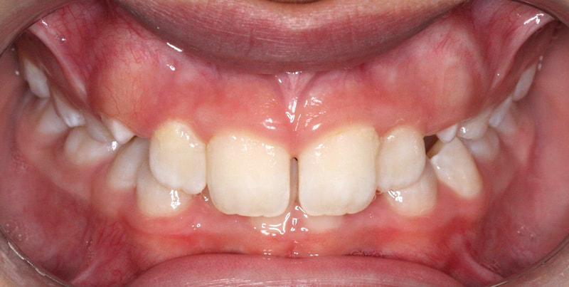
Challenging Cases Treated with Angel Aligner


Mixed dentitioN - Class II

Before
After

Mixed dentitioN - Class III

Before
After

Adult open bite 

Before
After

Class II Div I

Before
After

Class II Div II

Before
After

Class III

Before
After

Class III

Before
After
Copyright © 2025 Bella Vista Family Dental Centre 
All rights reserved. Designed by King Yellow :)
                                             
                                                           
  • Home
  • About Us
  • Meet the Team
  • Our Services
    • General Dentistry
    • Cosmetic Dentistry
    • Gum Treatment
    • Root Canal Therapy
    • Children's/Paediatric Dentistry
    • Wisdom Teeth Removal and Oral Surgery
    • Dental Implants
    • Clear aligners
    • Snoring and Sleep Apnoea
    • Grinding and TMJ Problems
    • Braces for Adults and Children
    • Dentures
  • For Doctors
  • Gallery
  • Contact Us